
「しばた歯科」は松山市にある歯科医院
~人生100年時代に備えるための、最新の予防歯科の知識と実践法~
医療法人愛弘会 しばた歯科 理事長の柴田 督弘(よしひろ)が執筆した『新時代の予防歯科』が、9月20日に発売されます。

インタビューに答える柴田理事長
【書籍概要】
『新時代の予防歯科』では、人生100年時代に備えるための最新の予防歯科の知識と、実践法を多数紹介しています。さらに、女性特有の口腔ケア“フェムデンタル”にも注目し、生涯自分の歯で食べる喜びを守るために役立つ一冊となっています。

人生100年時代、健康寿命を延ばす鍵は「歯」にあった! 「力」のコントロールという歯を守る新常識
【発行概要】
書籍名:新時代の予防歯科
出版社:SPC出版
発売日:2025年9月20日
価 格:税込1,650円(128ページ)
寸 法:18.8×12.8×0.65cm
ISBN 978-4-89983-292-8
販 売:愛媛県下の主要書店
Amazon:https://www.amazon.co.jp/dp/4899832923/
【目次】
第1章 人生100年時代。大切にすべきは「歯」
第2章 「新時代の予防」を支える三つのコントロール
第3章 女性と歯科医療
第4章 歯科×美容医療
第5章 『再生』〜未来の歯科医療〜
噛む力をコントロールすることの重要性を伝えたい
柴田理事長が本書の執筆を決意した背景には、日々の臨床を通じて「噛む力」「栄養」「全身の健康」が複雑に絡み合っていることを痛感した経験があります。
特に強調しているのが「噛む力」のコントロールの重要性です。
「どうして、こんなにきちんと磨いているのに虫歯になるのだろう?」と疑問に思う方も少なくありません。実際、丁寧なセルフケアを続けていても詰め物が外れたり、歯にヒビが入ったり、虫歯や破折を繰り返してしまうケースがあります。その原因の多くが「噛む力」の過剰な負担にあると考えられています。下記のデータは、当院に通う患者を対象に、噛む力を緩和するための咬筋ボツリヌス治療の臨床的価値を検証した結果です。

※SPT=サポーティブペリオドンタルセラピーの略。歯周病の治療後、病状が安定した状態を維持するために行う治療のこと
さらに、栄養状態や全身の健康が歯の寿命を左右することも明らかになっています。こうした臨床での気づきとデータを世に広め、従来の「歯磨き中心の予防」から新たなステージへの転換を促すために、本書が執筆されました。
「細菌」「力」「栄養」新時代の予防を支える三つのコントロール
『新時代の予防歯科』で柱となるのが「細菌」「力」「栄養」という三つのコントロールです。従来の予防歯科は、歯科医院でのプロケアや自宅でのセルフケアといった細菌コントロールが中心でした。しかし、人生100年時代を迎える今、それだけでは不十分だと柴田理事長は指摘します。

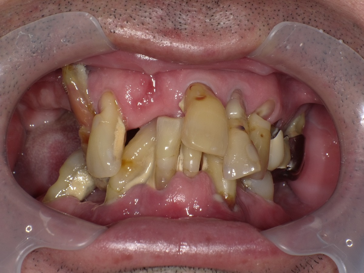
歯医者に行かず放置した結果、歯が抜け落ちガタガタになってしまった40代男性の歯
噛み合わせや歯ぎしりによる「力」の過剰な負担を抑える咬筋ボツリヌス治療、さらには骨や組織の再生を助ける栄養学的アプローチを組み合わせることで、歯を守る新たな道筋が開けます。本書では最新のエビデンスや症例を交え、この“三位一体の予防戦略”をわかりやすく解説しています。
ライフステージごとに直面する女性の歯の悩み

本書の大きな特徴の一つが、女性特有の口腔課題に焦点をあてた「フェムデンタル」の視点です。
女性は妊娠・出産、更年期といったライフステージごとにホルモンバランスが変化し、その影響が歯周病や顎関節症、口腔顔面痛などに直結することがわかっています。柴田理事長は「女性と歯の健康」の関わりを、科学的根拠と臨床経験をもとに体系的にまとめました。女性が健やかに人生を歩むために必要な歯科的サポートを紹介し、歯科医療の新しい役割を提示しています。
さらに、お口のトータルケアを行う「しばた歯科」ならではの視点から、歯科と美容医療の関係についても言及。歯と美を総合的に捉える取り組みも本書の見どころです。
人生100年時代の今だからこそ、歯の大切さを多くの人に知ってもらいたい
歯は単なる「食べるための器官」ではなく、健康寿命を左右する重要なパーツです。噛む力の低下は栄養不足を招き、生活の質や全身疾患のリスクにも直結します。実際、多くのシニア世代が「もっと早く歯を大切にしておけばよかった」と後悔しているという調査結果もあります。
本書は、「歯の予防」の新常識を学べる実用書です。一人でも多くの方に歯を守る意識を高めていただきたい、この一冊を通じて歯の大切さを広く伝えることを目指しています。
愛媛県松山市の「しばた歯科」について

松山市の新空港通りから県道219号線を北上した味生地区の住宅街にあります

しばた歯科のオペ室。デジタル技術を利用した「サージカルガイド」を用いるインプラント治療を行っています
愛媛県松山市北斎院町にある「医療法人愛弘会 しばた歯科」は、「生涯、自分の歯でおいしく食事ができるように」という信念のもと、2004年の開業以来、地域に根ざした歯科医療を提供してきました。
デジタル技術やドイツ製インプラントシステム、CAD/CAMによる高精度な補綴物など、世界基準の設備を積極的に導入し、院内には技工ラボも併設。即時対応による精度の高い入れ歯製作にも取り組んでいます。
さらに、口元の総合的な美しさを追求するため、同院併設の「ホワイトニングサロン Reflet(ルフレ)」では、ホワイトニングをはじめ、咬筋ボツリヌス治療、ヒアルロン酸注入、脂肪溶解注射などの施術も行い、歯科と美容の両面から患者一人ひとりをサポートしています。

しばた歯科の敷地内に併設の「ホワイトニングサロンReflet(ルフレ)」。昨年は年間延べ4000名以上を施術
クリニック概要
院 名:医療法人愛弘会 しばた歯科
所在地:愛媛県松山市北斎院町784-8
院 長:柴田 督弘(しばた よしひろ)
電 話:089-952-0418
しばた歯科 院長紹介

常に知識と技術の向上に努め、通院しやすい雰囲気づくりを重視している柴田院長
柴田 督弘(しばた よしひろ)
1999年 国立徳島大学 卒業
2004年8月 しばた歯科 開院
2009年6月 ドイツ・シロナ社セレック 導入
2009年6月 ドイツ「CAMLOG(カムログ)」インプラントシステム 導入
2009年8月 デジタル・サージカル・ガイド 導入
2011年9月 医療法人愛弘会 設立
2012年6月 米ハーバード大学インプラントコース 修了
2017年7月 ドイツ公認研究機関「センター・オブ・エクセレンス(C.O.E)」認証取得
2018年11月 ホワイトニングサロンReflet(ルフレ)開店
医療法人愛弘会 しばた歯科の基本情報
店名
医療法人愛弘会 しばた歯科
住所
松山市北斎院町784-8
電話番号
営業時間
9:00~18:00
定休日
祝日 日
駐車場
有